For Advanced Practitioners who want sharper instincts, faster answers, and standout cardiac expertise!

Current Concepts in Cardiology for Advanced Practitioners
Mini Series

This advanced mini-series is designed for Advanced Practitioners ready to elevate their cardiology expertise. Covering the most important and challenging areas of small-animal heart disease, it delivers practical, real-world guidance you can apply immediately. You’ll refine your skills in staging mitral valve disease, diagnosing DCM, and choosing the right medications across disease progression. Gain confidence in managing emergencies such as pericardial effusion and acute feline dyspnoea, and discover how Holter monitoring can transform your approach to arrhythmias. Packed with clinical insights, clear decision pathways, and evidence-based strategies, this series will sharpen your judgment and enhance patient outcomes.

  • Improve and expand your skills in recognising, diagnosing, and treating key cardiac conditions in this Advanced Practitioner mini series
  • You have a whole year’s access to recorded sessions and study notes for reviewing key points
  • Superb value for money – you learn without travelling or paying for accommodation, childcare or petcare
  • Watch the recordings on your iPad, mobile, PC or tablet
  • Self-assessment quiz to ‘release’ your 8 hours CPD certification

What will I learn on this course?

Session 1

Canine Cardiac Disease Made Clear: Staging Mitral Valve Disease and Diagnosing DCM

  • Overview of the ACVIM staging scheme for mitral valve disease
  • How to diagnose stage B1, B2 and C
  • Which tests to run, when
  • Pathophysiology of DCM in dogs
  • Aetiologies of DCM in dogs including nutritional, genetic and inflammatory causes
  • Correct diagnosis of DCM
  • What it is when it isn’t DCM?

Session 2

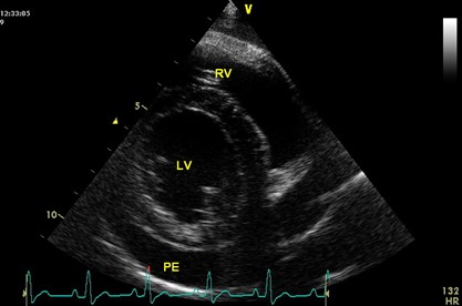
Clinical Decision-Making in Canine Cardiology: Drug Therapy for MVD and Strategies for Pericardial Effusion

  • Classes of drugs for managing mitral valve disease
  • Which drug to use, when
  • Drugs for different stages of disease
  • What to use when the patient is refractory
  • Pathophysiology of PE
  • Causes and prognosis of different types of PE
  • Diagnosis
  • Management, including draining and surgical options

Session 3

Modern Approaches to Cardiac Emergencies and Rhythm Analysis: Feline Dyspnoea and Holter Technology

  • Approach to initial stabilisation of the dyspnoeic cat
  • How to make a rapid diagnosis
  • How to treat the common causes of dyspnoea
  • Holter monitors: what are they and how can I use them
  • Understanding the analysis of the Holter recording
  • Practical uses for this test in clinic
  • Using Holters to guide arrhythmia management

Meet the Presenter....

Dave Dickson

BVetMed CertAVP (VC) DVC MRCVS

Dave Dickson is an RCVS Recognised Specialist in Cardiology, and a Director of HeartVets. He lives and works in south Wales, where he offers cardiology referral clinics. Dave regularly lectures regularly to local, national and international audiences has presented research at international conferences. His research into feline dyspnoea won the prestigious Best Research Communication at the European Congress of Veterinary Internal Medicine. He has published many original research articles and collaborates with colleagues in veterinary medicine and human exercise physiology from around the world. Dave is one of our interventional cardiac surgeons and is also on the auscultation and Doppler Echocardiography panels for the Veterinary Cardiovascular Society.

Attend the Live Sessions or watch the Recordings later - it's up to you!

Please note these sessions are recorded and will be released on the dates below, you will receive instructions on how to access.

Live sessions

Session 1 - Wednesday 1st April 2026

Session 2 - Wednesday 15th April 2026

Session 3 - Wednesday 29th April 2026

Easy to Attend!

No special equipment required... just a decent broadband connection

Take advantage of the easy Online Mini Series™ format and increase your confidence when dealing with your Cardiac patients

Just £497 + VAT*

Overseas customers outside the UK will not be charged VAT.

Live Icon.

Price includes...

  • All 3 sessions
  • Notes and quiz (8 hours CPD)
  • PLUS unlimited access to recordings and all course materials for 12 months!
  • No traffic jams or accommodation hassles
  • No child or pet care to arrange
  • No rota clashes to worry about and no locum cover needed

Just great CPD and a valuable ongoing resource

Guarantee.

100% Money Back Guarantee

Buy with absolute confidence as your purchase is protected by our 100%, no quibble money-back guarantee

Need Some Help?

Have A Question?

Please call us on:

0151 328 0444

Alternatively email

webinarclub@cpd-solutions.com

We will be delighted to help. Thank you!